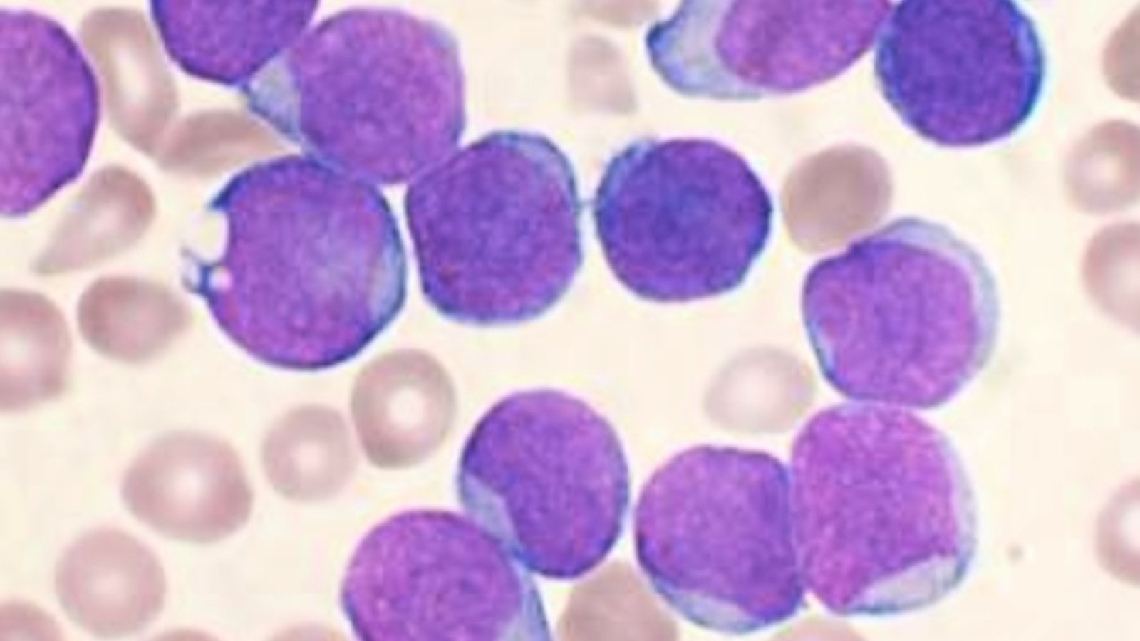
«La résistance aux médicaments, utilisés lors de la chimiothérapie, peut survenir chez certains patients dès le début du traitement», explique Katherine Borden, titulaire de la Chaire canadienne de recherche en biologie moléculaire du noyau cellulaire. En surmontant cette résistance, la lutte contre la leucémie myéloblastique aiguë (LAM), ce cancer très agressif, deviendrait plus efficace, croit-elle.
Abonnez-vous à notre infolettre!
Pour ne rien rater de l'actualité scientifique et tout savoir sur nos efforts pour lutter contre les fausses nouvelles et la désinformation!
La chercheuse à l’Institut pour la recherche en immunologie et cancer de l’Université de Montréal et son étudiante, Hiba Zahreddine, ont en effet découvert un mécanisme de modification chimique présent dans les cellules et induit par un gène (Gli1). L’hyperactivité de ce gène diminuerait la toxicité des médicaments destinés à lutter contre les cellules cancéreuses.
Mettant à nu ce mécanisme de résistance, les chercheuses ont développé une nouvelle approche destinée à renverser le processus. En administrant le Vismodegib, un médicament testé pour les cancers de la peau, le gène Gli1 se retrouverait inhibé et stopperait ainsi la modification chimique liée au traitement. Et les cellules répondraient à nouveau au médicament.
La piste génétique de lutte contre la leucémie s‘avère prometteuse. En février dernier, des chercheurs de l’Institut pour la recherche en immunologie et cancer de l’Université de Montréal ont mis à jour le régulateur-clé (Brg1) des cellules souches leucémiques. En inhibant ce gène, le cancer serait donc stoppé à la source.
Autre espoir, celui des greffes de cellules souches et l’allogreffe d’intensité réduite. Cette méthode encore expérimentale vise particulièrement les personnes âgées et celles plus sensibles à la chimiothérapie.





