b_amelogenesis_imperfecta.jpg
Si une visite chez le dentiste vous angoisse, un gène pourrait un jour venir à la rescousse.

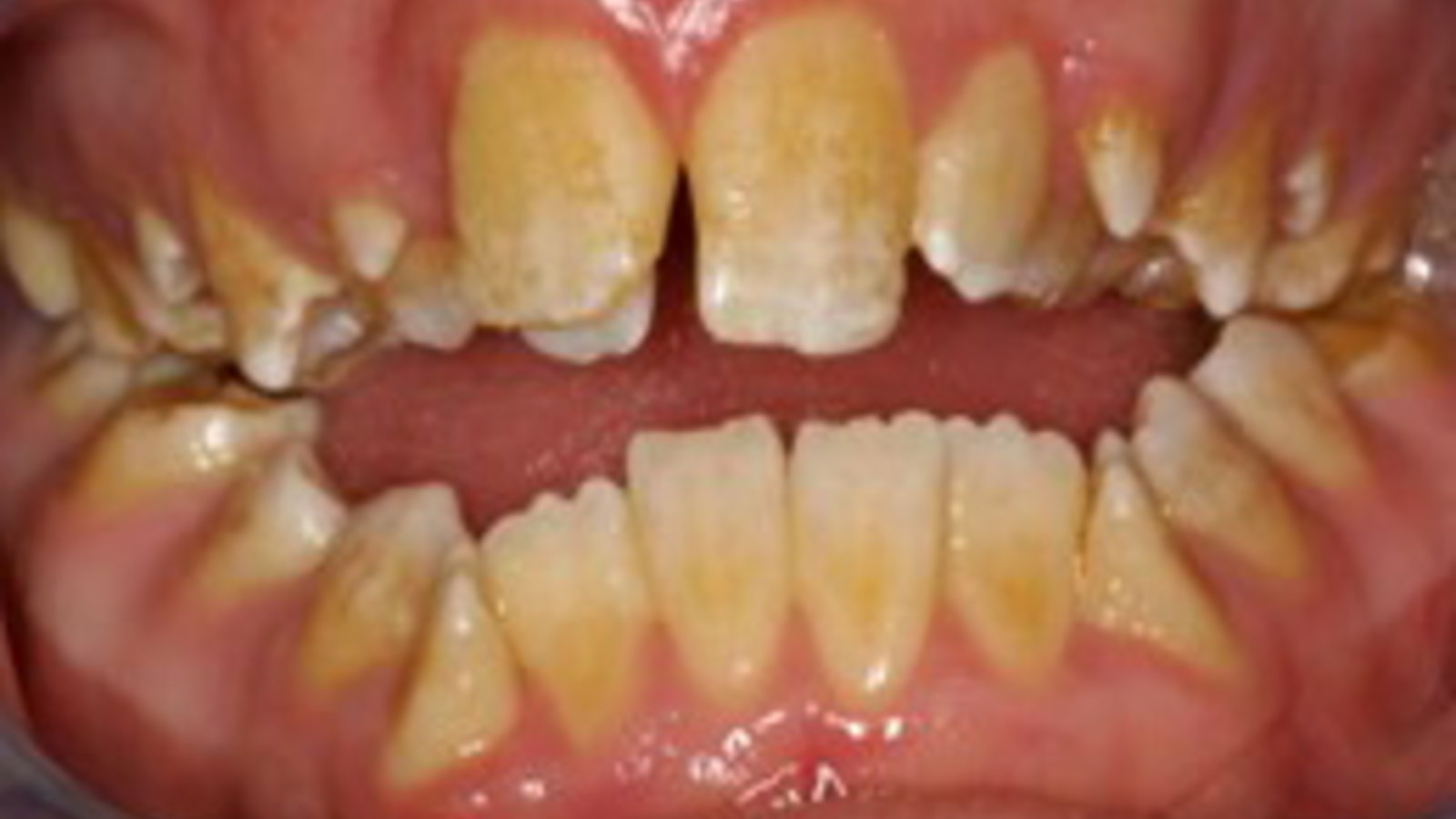
C’est qu’on a finalement identifié un gène responsable de l’émail des dents — uniquement dans l’enfance, puisqu’une fois l’émail produit, les cellules qui en sont responsables se retirent. C’est pourquoi lorsque l’émail est endommagé, les caries se forment. En examinant le génome de membres d’une famille porteurs d’un problème héréditaire des dents (amelogenesis imperfecta), James O’Sullivan et ses collègues de l’Université britannique de Manchester ont identifié une mutation d’un gène. Si on parvient à copier en laboratoire la protéine produite par ce gène lorsqu’il est à l’état normal, on pourrait peut-être réactiver la production d’émail et du coup, retarder les caries ( American Journal of Human Genetics ).

Je donne